近日,我院消化内科成功救治了一位68岁的急性重症胰腺炎患者,并为其实施“超声内镜引导下胰腺包裹性坏死穿刺引流术+支架置入术”。

68岁的张奶奶,因突发急性重症胰腺炎到我院就诊收住消化内科,尽管消化内科团队迅速开展积极治疗,但病情仍急剧恶化,2天后转入重症医学科,并申请昆明医科大学重症医学科王飞教授进行会诊,在王飞教授指导下,重症医学科医护团队通过气管插管、呼吸机辅助呼吸等高级生命支持及对症治疗,10余天后张奶奶病情好转转回消化内科。

术后胃腔内支架影
在消化内科住院期间,张奶奶仍间断出现阵发性上腹痛,查体中上腹部压痛,可触及巨大囊性包块,复查CT提示胰腺头颈体尾部见囊片状低密度影,临近胰腺、胃腔受压推移明显,最大直径达15.7cmX9.2cm;结合患者病史,考虑疾病早期形成大量渗出吸收不良,形成包裹性坏死可能。
针对张奶奶的病情,科室立即联系普外二科、重症医学科、介入室等学科召开多学科会诊。综合会诊意见,消化内科主任孙志宏带领消化内科团队进行病例讨论,经过详细讨论及超声内镜检查,确诊该囊性病变为胰腺包裹性坏死。


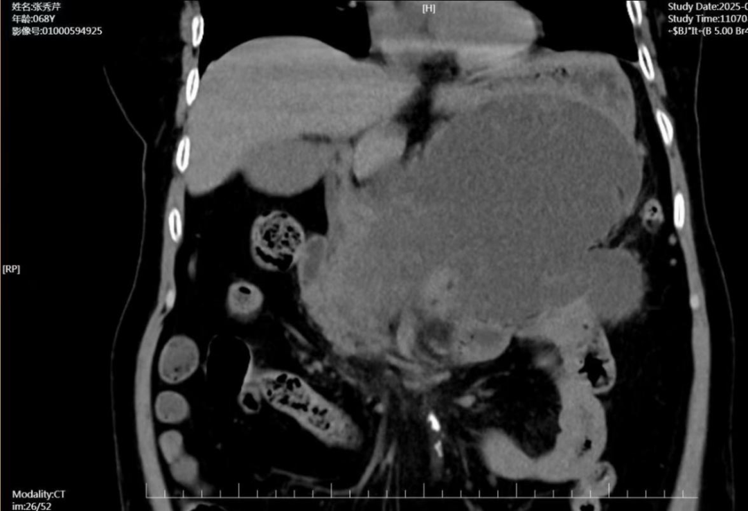
术前CT提示所见胰周巨大包裹性坏死




在与患者及家属充分沟通后为其实施“超声内镜引导下胰腺包裹性坏死穿刺引流术+支架置入术”,术中,支架顺利释放,大量褐色囊液涌入胃内。术后复查显示,囊腔明显缩小。

术后复查CT提示胰周包裹性坏死明显缩小
术后积极抗感染、持续鼻胆管引流等对症治疗,张奶奶腹痛症状缓解,好转出院。
小链接
什么是胰腺包裹性坏死?
一般在急性胰腺炎起病≥4周形成,由坏死组织及加强的壁构成,是一种成熟的、包含胰腺和(或)胰坏死组织、具有界限分明炎性包膜的囊实性结构,通常继发于急性坏死物积聚。
胰腺假性囊肿/胰腺包裹性坏死何时应考虑进行干预?
囊肿持续4周以上;
囊肿直径>6 cm;
继发压迫症状;
囊肿进行性增大;
合并囊内感染伴胰源性门静脉高压等并发症。
内镜治疗胰腺假性囊肿/胰腺包裹性坏死的优势有哪些?
治疗胰腺假性囊肿/胰腺包裹性坏死的方式通常包括保守治疗、外科手术治疗及内镜治疗。保守治疗主要通过药物治疗待其自然吸收,但对于合并感染或假性囊肿增长过大者效果不佳。外科手术治疗是通过各类手术方式建立引流通道,治疗效果确切,但创伤大、并发症多、花费高。内镜治疗主要是针对靠近胃或十二指肠壁的囊肿,在超声内镜引导下穿刺胃/肠壁进入囊腔,置入塑料支架或双蘑菇头金属支架,使囊液引流至消化道内,实现持续引流,直至囊腔闭塞而治愈。当囊肿合并感染时,单纯引流不能达到有效治疗效果,还可通过引流通道行内镜下清创术,并置管引流,可获得与外科手术相当的治疗效果,且创伤更小,并发症少,花费也明显减少。
建站专家
王东 主任医师
教授,主任医师
上海交通大学医学院附属瑞金医院消化内镜中心副主任
中华医学会消化内镜学分会内镜外科学组委员
第二军医大学硕士研究生导师
上海理工大学硕士生导师
中国医师协会内镜感染控制及管理专业委员会副主任委员兼秘书长
中国中西医结合学会消化内镜专业委员会副主任委员
中国医药教育协会消化内镜专委会副主任委员
中国中西医结合学会消化内镜专业委员会内镜质控专委会主任委员
中国医师协会内镜医师分会结直肠肿瘤专委会NOTES分会副主任委员
中国中西医结合学会消化内镜专业委员会EUS专委会委员
上海市中西医结合学会ERCP学组 副组长
中国研究型医院学会内镜分子影像学专业委员会副主任委员
中国抗癌协会胃癌专业委员会内镜学组委员
上海市医学会消化内镜专科分会食管胃底静脉曲张分会副主任委员
上海市医师协会消化内科医师分会委员
中华消化内镜杂志编委
中华消化病与影像杂志(电子版)编委
曾留学美国加州大学和日本九州大学
澳门肝病胃肠学会学术顾问
曾赴美国加利福尼亚州大学Davis医学中心留学,进行了ERCP、EUS等高级内镜诊疗培训。
曾先后在日本、德国等进修学习。荣获首届“榜样长海”人物,多次获嘉奖。
多次在美国、日本、韩国、新加坡、澳门地区等作大会学术报告。在泰国和缅甸进行学术讲座和超声内镜及ERCP的手把手带教工作。
以第一申请人承担国家自然基金2项,博士后基金1项。
获国家级教学成果奖及上海市科技进步奖各1项。
发表论文30余篇,主编《消化超声内镜治疗技术》、《消化超声内镜实用技术》2部,副主编《上消化内镜检查技术》,《ERCP操作高级技术》,《ERCP操作基本技术》等6部,副主编专著2部,参编专著10余部。
结合临床难题创造发明,有效解决多项疑难疾病,获国家实用新型专利46项,发明专利5项。
本院专家
孙志宏 副主任医师
消化内科主任,副主任医师
中国医药卫生事业发展基金会消化专家委员会青年委员
现任云南省医师协会消化医师分会委员
云南省医师协会胰腺分会委员
云南血管介入分会委员
保山市医学会消化分会委员,发表论文数篇,曾获区级科技奖1项,市级科技奖2项。
从事消化内镜及消化内科工作
2011-2012年到四川华西医院进修学习消化内镜及介入技术
2015年到昆明医科大学进修消化血管介入
2019遵义医科大学附属医院进修早癌
2021华中科技大学同济医学附属协和医院进修超声内镜
专业擅长:
擅长胃镜、单人肠镜的检查治疗及消化科急危重症的诊治;擅长超声内镜检查和治疗,开展EUS-Fan EUS-BD及超声内镜下引流术,内镜下独立开展消化内科的相关介入治疗(肝脏、胰腺脓肿、囊肿穿刺治疗、肝癌的肝癌动脉灌注化疗栓塞治疗(TACE)治疗、胆道的经皮经肝胆管穿刺引流术(PTCD)治疗、肝硬化的经颈静脉肝内门腔静脉分流术(TIPS)治疗及经内镜送行性胰胆管造影术(ERCP)、内镜粘膜下剥离术(ESD)治疗;常规开展肝硬化内镜下静脉曲张套扎术硬化治疗,清化道早期肿瘤ESD剥离、肠镜下 困难大息肉切除、消化道穿孔修复、胆管微创取石、CT、B超下脓肿穿刺引流、胆道PTCD术;食道癌食道支架植入术;2018开展POEM手术,2021年开展超声内镜下介入治疗,多项技术在保山属首家开展,多项技术在保山处于领先水平。
董明志 副主任医师
云南省医学会消化内镜分会委员,
云南省医师协会消化分会常委委员
保山市医学会消化分会委员,发表论文数篇,曾获区级科技奖1项,市级科技奖2项。
从事消化内科及消化内镜诊疗工作20余年。
专业擅长:
消化内科凝难病例的诊治及内镜下微创诊疗。
张园园 副主任医师
消化内科副主任
云南省医学会第二届职业病科专业委员会委员
保山市医学会消化病学分会第二届委员会委员
2009年毕业于大理大学临床医学专业,毕业后一直从事消化内科临床工作,曾于2015、2023两次于云南省第一人民医院进修消化内镜
2017-2018上海交通大学附属仁济医院消化内科进修1年,进修胃肠病及肝病学,曾多次荣获市级科技进步三等奖,多次在省级消化内镜大赛中取得优异成绩。
专业擅长:
消化系统常见及危重疾病的诊治、消化内镜的诊断、超声胃镜的诊断、消化内镜的微创治疗,以及疑难复杂性肝病、遗传代谢性肝病的诊治,尤其对自身免疫性肝病有丰富的经验。
杨露 主治医师
消化内科副主任
云南省医学会消化内镜分会小肠及胶囊内镜学组委员
保山市医学会消化病学分会第二届委员会委员
保山市医学会消化内镜学分会第二剂委员会委员
曾至上海交通大学附属瑞金医院进修
擅长消化内科常见多发疾病及疑难疾病的诊治
2014年毕业于昆明医科大学临床医学,医学学士。毕业后一直从事消化内科工作。2021年到上海交通大学附属瑞金医院消化内科进修一年。获得省内外EUS、ERCP及消化道早癌培训合格证书,并成为上海CSR公益特邀专家。
专业擅长:
胃肠镜、胶囊内镜检查及内镜下治疗、消化道早癌的筛查、急性消化道出血的内镜下治疗、EMR、ESD、EUS、ERCP技术等。
特色医疗技术
(一)无痛胃肠镜检查、治疗,超声内镜。
(二)胶囊式内窥镜,真正实现了全消化道无痛苦检查。
(三)内镜胃肠道息肉电切(大息肉切除)。
(四)内镜下消化道早癌诊疗技术(消化道早癌精查,胃肠道早癌黏膜下剥离ESD、)
(五)食道静脉曲张套扎治疗、硬化治疗,胃底静脉组织胶注射。
(六)十二指肠镜下逆行胆管造影,胆总管取石术(ERCP、EST),鼻胆管引流术等治疗。
(七)消化道大出血急诊内镜下止血治疗。
(八)消化道支架(食道、胆管、胰管肠道)植入,胃癌局部化疗技术。
(九)外周血管介入治疗(TIPS及TACE)。
(十)食道贲门失迟缓症POEM手术
(十一)内痔的内镜下治疗
(十二)血胃泌素胃蛋白酶I/II三联早癌检查术
(十三)其他诊疗技术:快速肝活检、经皮穿刺胆管引流术(PTCD)等先进技术。
科室地址:
住院楼10楼B区(北院区)
门诊地址:
门诊楼4楼外科诊区(北院区)
门诊楼2楼(南院区)
咨询电话:0875—2216412
供稿|消化内科
扫一扫在手机打开当前页








