保山二院医学影像科是云南省省级临床重点专科,隆阳区区域影像诊断中心,是一支设备齐全、技术一流的综合性影像诊断科室,配备了国内外领先的影像诊断设备,并拥有一支经验丰富、技术精湛的医疗团队。科室现有人员38名,包括21名诊断医师、13名放射技师和4名护理人员,秉持着“精准影像显示细节,优质服务提升形象”的服务理念,为患者提供全方位的影像学检查与诊疗支持。

医学影像科致力于提供精准的影像服务,并不断提升患者的就医体验。目前,科室在北院区、南院区均设有影像诊断中心,为患者提供全天候、24小时不停歇的医学影像服务。无论是常规检查,还是复杂的影像引导及介入手术,科室都能高效且准确地完成,保障患者的诊疗需求。
院科党政联合大查房走进医学影像科
先进设备,夯实精准诊疗基础
为确保影像检查的高精度与高效性,保山二院医学影像科引入了多台国际先进设备,涵盖了磁共振(MRI)、计算机断层扫描(CT)、数字X线(DR)、乳腺钼靶、骨密度仪等多个领域的顶尖仪器。科室设备的全面布局,为科室的多元化服务提供了强大的技术支持。
256排高端CT:不仅支持肺部高分辨CT检查,还能在单次扫描中精准诊断急性冠脉综合症、急性肺栓塞和主动脉夹层等危急症状。CT引导下的穿刺活检术也使得精确诊断成为可能,成为胸外科肺结节切除的得力助手。

3.0T高端磁共振:这台先进的磁共振设备不仅具有超高的分辨率,还能进行不打药灌注(ASL),颅内血管壁高清成像,突破了传统影像学的局限。

双能X射线骨密度仪:通过精准的骨密度检测,能够有效评估骨质疏松,为患者提供骨折风险预测及健康管理建议。


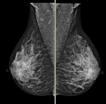
最新一代乳腺钼靶机:专为女性健康保驾护航,通过高分辨率的成像技术,早期发现乳腺病变,提高乳腺癌的早期诊断率。
DR特色检查项目:一次曝光即可完成全脊柱成像,极大提高了脊柱疾病的检测效率,降低了患者的辐射剂量。

微创介入诊疗,开辟治疗新天地
保山二院医学影像科在精准影像引导下的介入治疗方面不断创新。科室的介入项目涵盖了从一级到四级的多种治疗手段,为患者提供了全面、微创、精准的治疗选择。
一级手术:包括全身动静脉造影术、各部位插管术、穿刺活检术等,为患者提供多种基础性介入治疗。
二级手术:如肿瘤化疗灌注术、输卵管再通术、无水酒精肿瘤治疗术等,能够通过精确的影像引导,针对性地治疗各类疾病。
三级手术:涵盖了食道静脉栓塞、脾动脉栓塞、宫外孕介入治疗等高难度介入手术,大大提升了治疗的精确性和患者的恢复速度。
四级手术:如全身各部位血管及非血管支架植入术、TIPS手术、四肢血管成形术、经皮血管药盒置入术等高端技术,成为处理复杂疾病的重要手段,给许多危重患者带来了新生的希望。
保山市二院医学影像科以先进的医疗设备、专业的团队、人性化的服务,成为区域内医学影像的标杆,我们将坚持以患者为中心、以技术为支撑,不断推动医学影像科的发展,为广大患者提供高质量、高效率的医疗服务。
本院专家

杨兑明
医学影像科主任、第六党支部书记
保山市科技创新人才、保山中医药高等专科学校学术技术带头人
副主任医师
获得保山市科技进步三等奖一项
省级科研项目两项、市级科研项目四项
发表核心期刊论文四篇
参编书籍两部、专利两项
任国民族卫生协会放射学分会腹部学组委员
云南省医学会放射学分会腹部学组委员
云南省卒中学会影像学分会委员
云南省医院协会医学影像专业委员会委员
云南省抗癌协会肿瘤影像专业委员会委员
保山市医学会放射学分会副主任委员
保山市放射影像质控中心副主任
隆阳区技师工作站负责人

张磊
硕士学位,医学影像科副主任,副主任医师
多次评为优秀共产党员
获得保山市科技进步三等奖一项
在北大核心期刊发表个案1篇
国家科技核心期刊发表论著3篇
曾获保山市第二人民医院教学竞赛一等奖
云南省磁共振案例大赛二等奖
中国民族卫生学会放射学分会中文微课比赛二等奖
到北京友谊医院、南京东部战区总医院进修学习。

蒋光近
副主任,副主任医师
任云南省转化医学会介入学分会委员
在国家级杂志发表论文1篇,参编书籍三本
保山市第二人民医院教学竞赛获奖多次
擅长DSA诊疗技术,尤其是腹部实质脏器肿瘤、急诊出血、外周动静脉疾病介入诊断及治疗。曾到昆医附二院进修综合、外周介入1年半。

吴艳艳
医学影像科副主任医师
发表论文3篇
获得保山市科技成果奖三等奖一项
隆阳区科技成果奖二等奖一项
2004年3月至2004年6月昆明医科大第一附属医院CT室进修,2015年3月至2015年9月昆明医科大第一附属医院MRI室进修,擅长CT诊断,和科室团队开展冠脉CT、CT结直肠充气、全身大血管CTA等新技术及特殊检查。

供稿|医学影像科
扫一扫在手机打开当前页











