阑尾炎是外科最常见的急腹症,也是病理工作中常见病种之一,下面,就带大家了解一下阑尾炎的病理诊断特点。
大体:通常见阑尾充血水肿,化脓时局部可见脓苔,腔内可见脓液,坏疽时阑尾壁可出现出血坏死,部分管壁变薄并伴有恶臭。
镜下表现:根据不同病程及镜下表现可分为以下几种。
急性阑尾炎
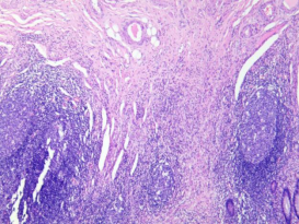
单纯性阑尾炎
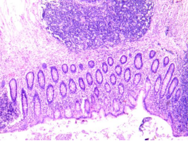
阑尾表面充血,腔中有中性粒细胞渗出,肠壁各层有少量中性粒细胞浸润,血管充血。


阑尾固有层淋巴组织结构保存完整,
正常黏膜区域之间有轻微的
局灶性炎症和溃疡
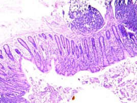
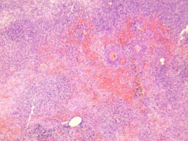
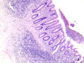
化脓性阑尾炎
阑尾表面有灰白色脓性渗出物,腔内充满中性粒细胞,各层有大量中性粒细胞浸润及充血水肿。


管壁全层大量中性粒细胞浸润
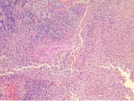
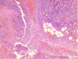
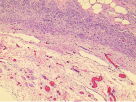
坏疽性阑尾炎
常为化脓性阑尾炎继续发展的结果,由于系膜炎症使阑尾静脉血栓形成,从而引起阑尾广泛出血梗死,阑尾各层广泛出血坏死和急性炎细胞浸润。肌层出血坏死严重者可引起穿孔。


黏膜及肌层坏死,浆膜下大量中性粒
细胞,伴坏死、出血
亚急性阑尾炎
一般由急性阑尾炎迁延所致,为阑尾各层特别是阑尾肌层内有较多嗜酸性粒细胞浸润。


管腔渗出,较多嗜酸性粒细胞浸润
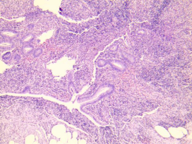
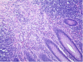
慢性阑尾炎
多由急性或亚急性阑尾炎发展而来,亦可一开始就是慢性炎,主要病变为阑尾各层不同程度纤维化和淋巴细胞、浆细胞浸润。


黏膜固有层大量浆细胞及淋巴细胞,
纤维组织增生

供稿|病理科
扫一扫在手机打开当前页



