保山市二院影像科介入室在云南省第一人民医院放射科介入室陈志明教授指导下,成功完成本院首例 “经皮肺动脉球囊扩张成形术(BPA)”。这一成果填补了医院肺血管介入治疗领域空白,标志着该院介入治疗领域取得新突破,为当地肺血管疾病患者带来更优治疗选择。

54 岁男性患者,10 年前出现阵发性咳嗽等症状,2 个月前症状加重。经保山市二院呼吸内科与医学影像科联合会诊,确诊为慢性阻塞性肺疾病、肺动脉高压及肺动脉狭窄,决定采用经皮肺动脉球囊扩张术进行介入治疗。

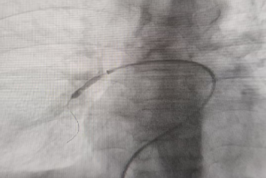
手术团队按 Seldinger 技术穿刺右侧股静脉,置入血管鞘,在右肺动脉处造影检查,发现右肺动脉多支血管狭窄,右下肺动脉狭窄严重,部分右下肺静脉也有轻微狭窄。术中采用分次逐级球囊扩张策略,将球囊精准放置于狭窄部位,术后造影显示,狭窄血管的 “蜂腰征” 消失,造影剂通过顺畅,手术成功。
术后患者恢复良好,症状明显改善,运动能力增强,无咯血等并发症,精神状态和饮食胃口基本恢复正常,验证了该手术的有效性和安全性。
小链接
肺动脉高压与相关治疗知识科普
肺动脉高压(Pulmonary Hypertension, PH),因其高致死率和难以治愈的特点,被医学界称为“心肺系统的癌症”。正常情况下,肺动脉压力为15 - 30 mmHg(收缩压),若在静息状态下,平均肺动脉压≥25mmHg,即可诊断为肺动脉高压。这种疾病会给患者带来诸多严重危害:
★肺动脉压力的持续升高,会迫使右心室长期超负荷工作,久而久之,导致右心室肥大,最终发展为右心衰竭,严重时甚至可能引发猝死。
★肺部血流受阻,使得氧气交换效率大幅降低,患者会出现呼吸困难、浑身乏力等症状,病情严重者还会出现口唇发绀的现象。
★缺氧以及血流动力学的异常,会对肝脏、肾脏等重要器官造成损害,加速病情恶化。
★据统计,未经规范治疗的肺动脉高压患者,5年生存率不足50%,晚期患者多因心力衰竭或肺栓塞而失去生命。
肺动脉狭窄则是一种先天性心血管畸形。轻度患者可能无明显症状,或仅在运动后出现心悸;而中重度患者会出现呼吸困难、晕厥、胸痛等症状,晚期还会出现右心衰竭的典型症状,如水肿、肝肿大等。
经皮肺动脉球囊成形术(BPA)作为一种先进的微创血管介入技术,其原理是借助导管造影,精准定位肺动脉狭窄或闭塞病变部位,然后通过导丝穿过病变处,利用球囊对病变部位进行扩张,从而改善血流状况,开通阻塞血管,达到改善肺血流灌注、降低右心室后负荷的治疗目的。

供稿|医学影像科
扫一扫在手机打开当前页



