近日,一位术后康复的肺腺癌患者将两面锦旗送至我院呼吸科与胸外科团队手中。

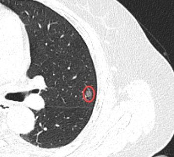
患者王阿姨在体检中发现左肺高危结节,经我院呼吸科"肺结节精准评估门诊"初步筛查,考虑恶性可能大。呼吸科团队立即启动多学科联动机制,联合胸外科、影像科、病理科进行会诊。

呼吸科:快速识别高危肺结节
病理科:快速明确腺癌诊断
胸外科:采用单孔胸腔镜微创技术完整切除病灶

王阿姨术后患者恢复良好,病理证实为早期肺腺癌,无需后续化疗。"从发现到治愈只用了一周时间,真正感受到了什么是‘精准医疗’!"王阿姨连连赞叹。
学科特色
呼吸科:配备电子支气管镜、AI辅助分析系统,实现肺结节"早筛-早诊-精定位"全流程管理。
胸外科:成熟开展单孔/三维胸腔镜手术,早期肺癌五年生存率达先进水平。
MDT模式:固定开展肺结节多学科讨论,年完成高危结节诊疗超200例。
专家提醒
肺结节≠肺癌,但高危结节需警惕!对于具有分叶征、毛刺征等影像学特征的结节,建议尽早就诊。我院建立的肺结节全程化管理体系,能有效避免漏诊误诊,为患者争取最佳治疗时机。
未来我们将继续深化多学科协作,用精湛技术和暖心服务守护患者"肺"腑安康。

供稿|呼吸内科
扫一扫在手机打开当前页



