保山市第二人民医院普外二科是云南省普通外科省级临床重点专科,上海仁济医院胆胰疾病规范化诊疗中心分中心、云南省院士(专家)工作站刘颖斌专家工作站、上海交通大学附属仁济医院吴文广专家团队工作站、昆明医科大学第二附属医院孙敏专家团队工作站、昆明医科大学第二附属医院肝胆胰外科联盟、同时也是隆阳区普通外科医疗质量控制组。年完成手术约1500余台,微创手术率超过90%,已经全面完成本专业领域疾病手术微创化。以手术能力强,手术安全性高,服务态度好,在区域内获得良好口碑。


院科党政联合大查房走进普外二科
勇攀医学高峰,守护生命绿洲
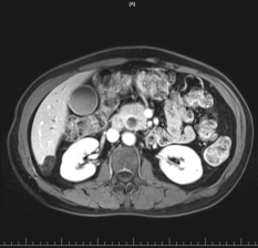
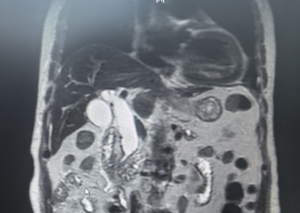
患者金大爷,因梗阻性黄疸到我院就诊收住消化内科,完善相关检查后发现胆管占位性病变 ,胆总管下段壁稍增厚,低位胆道梗阻待鉴别;腹腔内及腹膜后淋巴结增多部分稍增大;肝脏多发囊性病变待排;胆囊稍肿大并胆汁浓缩。经院内会诊后,患者转入普外二科继续下一步治疗。我院普外二科主任李国松向患者及家属详细讲解病情的复杂性和手术的必要性,在排外手术禁忌后,拟定了高难度的手术方案——腹腔镜下胰十二指肠切除术+肝病损切除术+胆囊切除术。 在做好充分术前准备的基础上,普外二科手术团队披上“绿战袍”,向腹部手术的“珠穆朗玛峰”发起挑战。




在手术室麻醉团队和护理团队的配合下,历时8小时41分钟,手术取得成功。医护团队默契配合、精准操作,术中出血量仅为200ml,术后患者麻醉苏醒后安返病房。在全体医护人员的精心治疗和护理下患者恢复良好顺利出院。
专家带教指导,助力技术突破
在吴文广教授的指导下,团队成功为一名56岁的胰腺癌患者实施了ERCP手术。检查提示“胰腺头颈部恶性肿瘤伴肝内外胆管及胰腺体尾部主胰管扩张”,针对患者病情,吴文广教授带领团队在术前展开充分讨论,制订了缜密的治疗方案,在与患者及家属充分沟通后最终决定通过内镜下放置胆管支架、胰管支架,为患者解除梗阻。术中,在吴文广教授的指导下,杨晨组长带领团队经预切开、插管、造影、支架置入等一系列操作,团队成功解除了胆道梗阻,最终成功引流出黑色胆汁,手术取得成功。

微创技术再突破,精准治疗解难题
患者李大爷,因急性梗阻性胆管炎到我院就诊收住急诊科,完善相关检查后发现胆管下段狭窄 (炎性病变病低位胆道梗阻,肿瘤性病变待排),术前肿瘤标记物CA199 10.44U,经院内会诊后,患者转入普外二科继续下一步治疗。




用经口电子胆管内窥镜进入胆管探查后,未探及明显隆起及肿物,考虑胆管下段炎性狭窄,拟留置覆膜胆道支架3月后返院复诊拔除支架。
全面覆盖技术领域
腹腔镜微创手术
胆囊切除术、阑尾切除术、疝修补术、胆总管切开取石术、肝囊肿开窗术、肝脓肿引流术、脾脏切除术、外伤性脾切除术、门体断流术、胆肠吻合术、解剖性肝叶肝段切除术、半肝切除联合胆肠吻合术、肝破裂修补术、胰体尾切除术、胆囊癌根治术、胆管癌根治术、胰十二指肠切除术等。
重特大手术
半肝切除术、复杂胆肠吻合术、胰肠吻合术、胆管癌根治术、肝门部胆管癌根治术、胰十二指肠切除术、多脏器联合切除术、胆囊癌根治术、多肝段切除术等。
内镜介入
ERCP-经内镜逆行胰胆管造影术;乳头括约肌切开术、内镜下鼻胆管引流术、内镜下胆管内引流术、乳头球囊扩张术、内镜下胰管引流术、经口直视电子胆管镜检查等)。
超声介入
超声引导下肝脏穿刺活检术、经皮经肝穿刺肝脓肿引流术、肝囊肿引流术、黄疸患者的经皮经肝胆管穿刺引流术等。
肿瘤微波消融
开腹肝脏肿瘤消融术、腹腔镜下肝脏肿瘤消融术等。
团队与技术优势

★挂站专家团队:上海交通大学附属仁济医院刘颖斌教授、上海交通大学附属仁济医院吴文光教授、昆明医科大学第二附属医院孙敏教授,银铃医师柳咏教授均为主任医师。其中博士生导师博士后合作导师1人,医学博士、硕士研究生导师2人。

★设备支持:配备3.0T核磁共振、4K极清腹腔镜、荧光腹腔镜、电子胆道镜、奥林巴斯260十二指肠镜、DSA、奥林巴斯290胃肠镜、术中超声、超声刀等。
★多学科协作:与肿瘤科、影像科、病理科等联合开展MDT(多学科会诊),为复杂病例制定最优治疗方案。
★科研与教学: 发表SCI多篇最高分50.3分、核心期刊论文多篇、参编人民卫生出版社书籍。
★服务理念:以患者为中心,秉承“安全、精准、微创、快速康复”理念,提供全程化优质护理服务。

供稿|普外二科
扫一扫在手机打开当前页



