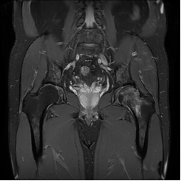
近日,一位50岁男性患者,因左髋部疼痛伴活动受限4月到我院疼痛科就诊,完善双侧髋关节MRI平扫提示:双侧股骨头及左侧股骨颈异常改变,考虑:股骨头缺血坏死(左侧约为Ⅲ期,右侧为I期),经院内多学科联合会诊,并邀请建站专家解放军联勤保障部队第九二〇医院骨科徐永清教授专家团队进行远程会诊参与病例讨论。
专家团队就患者病情展开全方位、深层次的评估,经过多轮研讨分析,考虑到患者年龄较轻,股骨头未见明显塌陷,保髋治疗意义重大,在与患者及家属充分沟通后,决定为其行保髋手术治疗。


术前MRI
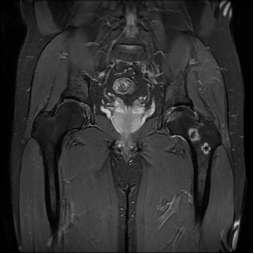
术前各学科各司其职、精心筹备,在徐永清教授带领指导下给予患者行“术中给予左侧股骨头病损切除、减压、带骨方肌骨瓣移植术”,历时1小时,手术取得成功,患者安返病房,术后给予卧床休养、辅助专科药物,患者左髋疼痛及髋关节功能恢复良好,术后第十天出院。


术后MRI
徐永清教授表示:“保髋技术是针对股骨头坏死、早期髋关节炎等髋关节疾病的治疗手段,其核心是保留患者自身髋关节,而非直接进行人工髋关节置换,减少人工置换带来的长期问题,为髋关节疾病的治疗提供更灵活、更具针对性的方案。”
小链接
保髋技术
保髋技术的核心在于其“早干预、微创伤、重功能”的价值理念。
一、保髋治疗并非单纯止痛,而是通过阻断病情进展、重建生物力学功能及激活自体修复三大机制,帮助患者避免或延迟人工关节置换。其核心价值体现在:
★延缓髋关节恶化。针对性解决骨头血供障碍、骨质结构异常与力学失衡问题,阻止股骨头塌陷(要求塌陷<4mm)及骨关节炎进展;
★功能与生活品质双提升。解除疼痛的同时恢复关节活动能力,使患者重返工作与社会角色,尤其适合活动需求高的中青年群体;
★减少置换依赖。通过早期干预降低晚期置换手术比例,规避假体松动、感染等长期风险。
二、现代保髋技术已形成多维度干预网络,突破传统单一疗法局限,其核心技术体系实现了微创化、精准化与联合化三重进化。
★可视化微创技术集群。如可视针镜技术融合病灶清理、生物活性物质(如PRP、CGF因子)注射与再生医学技术(成骨细胞移植),建立局部修复微环境;靶向病灶清理术通过超微创通道清除坏死骨屑与炎性介质,为新生组织提供“清洁土壤”。
★血运重建与结构修复技术。如血管化骨瓣移植术采用旋股外侧血管横支大转子骨瓣或带蒂腓骨移植,同步恢复股骨头血供与力学支撑;双重建技术,由张长青教授团队研发的“骨质-血供双重建”方案,解决中早期坏死核心难题。
★截骨矫形与功能重塑技术。如髋臼周围截骨术(PAO)矫正发育性髋关节不良(DDH)的解剖异常,重塑髋臼包容性;股骨头颈成形术精准修正股髋撞击(FAI)导致的力学冲突。
三、成功保髋的关键在于精准筛选适用人群。
★影像学分期早 →股骨头未塌陷或塌陷<4mm,关节间隙正常;
★再生潜力佳 →年龄<55岁,无严重代谢性疾病;
★软骨存修复空间→无广泛软骨磨损(Tonnis分级≤2级)。
保髋技术从单点突破迈向系统集成,正重新定义髋关节疾病的治疗范式。随着多学科协作模式的深化与精准医疗工具的普及,未来有望成为中青年患者首选方案,真正实现“治髋病、保髋关、焕新生”的医疗愿景。
建站专家

徐永清
医学博士,博士兼硕士研究生导师。现任中国人民解放军联勤保障部队第九二O医院骨科主任、主任医师,技术三级、文职一级。2015年授专业技术少将军衔。荣立军队二等功1次、三等功4次。军队学科拔尖人才,全国优秀科技工作者,享受国务院特殊津贴。
担任中华医学会显微外科学会第十一届委员会主任委员
解放军医学科技技术委员显微外科学分会主任委员
中国医师协会显微外科医师分会软组织修复(皮瓣)专委会第一届委员会主任委员
中国医师协会手外科医师分会第一届委员会常务委员
云南省医学会创伤学分会主任委员
云南省医师协会骨科医师分会主任委员等
历经实战锤炼,参加了1984年两山作战和1996年丽江抗震救灾。
专业擅长:
在创伤骨科,特别是显微外科和手外科方面积累了深厚的造诣,完成了大量严重复合组织损伤、骨与软组织缺损及骨关节损伤、疑难病例的救治,开创性的开展了人工腕关节研发、骨髓炎骨缺损临床技术研究等工作,深获国内外同行认可,在军地形成了良好的专家效应。

本院专家

赵 波
骨科主任
担任保山市医学会运动医学分会副主任委员
保山市中医药学会中西医结合运动医学专业委员会副主任委员
云南省医师协会髋关节学组委员
云南省康复医学会骨与关节风湿专业委员会委员
云南省医师协会运动医学医师分会委员
云南省医师学会会员
保山市医学会骨科分会委员保山市残疾鉴定专家库成员
曾至中国人民解放军成都军区昆明总医院、昆明医科大学第二附属医院进修学习骨外科,运动医学及关节外科。
专业擅长:
膝关节骨性关节炎阶梯治疗,包括保膝、膝关节单髁、全膝关节置换手术;SuperPATH微创人工髋关节置换术;肩、膝关节镜下微创手术;熟练掌握四肢、关节、脊柱外伤及疾病的诊治,四肢复杂创面修复。


供稿|骨科
扫一扫在手机打开当前页



