保山市第二人民消化内科成立于2011年,2013年入选云南省省级临床重点专科,建有上海交通大学附属瑞金医院王东教授专家工作站,是云南省消化内科专科联盟成员、云南省炎症性肠病联盟成员、西京消化病医院保山整合医学中心。下设消化内镜中心,是隆阳区消化内镜诊疗技术培训基地,隆阳区消化内镜诊疗中心,是全国早期胃癌筛查应用协作单位。每年收治患者3500人次,内镜下诊疗10000余人次,开展各类内镜下治疗600余例。开展消化常见疾病的诊治,特别是急性消化道出血、重症急性胰腺炎、慢乙肝/肝硬化等肝病、炎症性肠病、胆道胰腺疾病等疾病的诊治。

消化道早癌内镜精查
消化道早癌精查是针对消化道早期癌症进行的一系列精细检查,目的是早期发现、诊断和治疗消化道癌症,提高患者治愈率和生存率。具体包括:普通白光内镜、色素内镜、电子染色内镜、放大内镜。
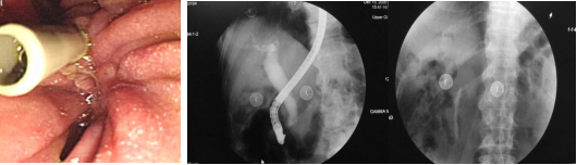
ERCP—小切口大作用,镜让治疗
更精准
近年来,消化内科通过不断提高技术水平和业务能力,内镜下治疗例数逐步增加,成功率稳步提升提高;内镜逆行胰胆管造影 (ERCP)技术目前已成为解决胆胰疾病的主要治疗方法,该技术已在我科成熟开展,为胆胰疾病患者提供了更加精准且微创的治疗方法,为隆阳区及周边地区胆胰疾病患者带来更多治疗选择。该治疗无需开放、手术恢复快,切口微小。

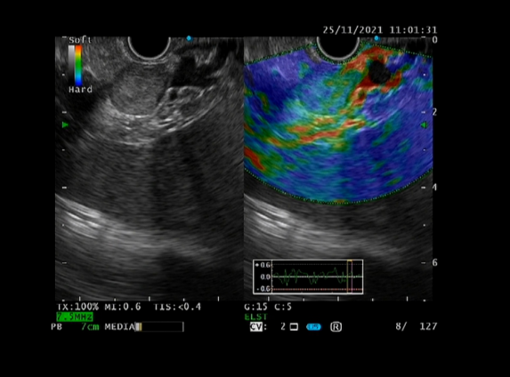
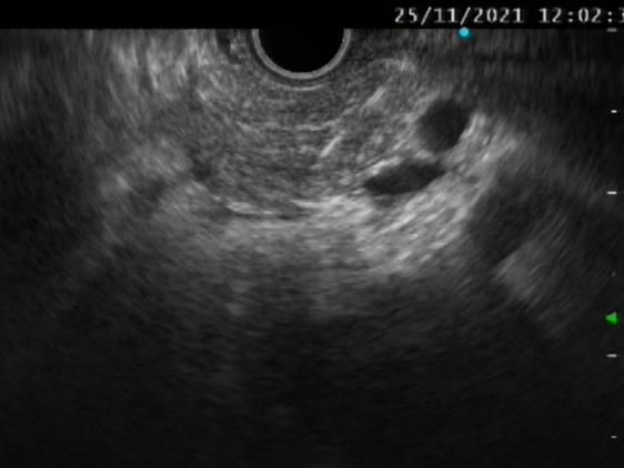
EUS—消化内镜领域的“第三只眼”
超声内镜(EUS)是将内镜和超声相结合的消化道检查技术,将微型高频超声探头安置在内镜顶端,当内镜插入体腔后,在内镜直接观察消化道黏膜病变的同时,可利用内镜下的超声行实时扫描,可以获得胃肠道的层次结构的组织学特征及周围邻近脏器的超声图像,从而进一步提高内镜和超声的诊断水平。


TIPS—门脉高压、顽固性腹水王牌治疗
TIPS(经颈静脉肝内门体分流术)是一种微创介入手术,它通过在肝静脉和门静脉之间放置支架的方式构建人工分流道,使来自门静脉的血流经分流道直接进入下腔静脉,从而解决门静脉高压所导致的的问题—(1)急性食管静脉曲张破裂出血的患者,在药物和内镜治疗后仍存在持续性出血或早期复发出血,可选择接受“挽救性”TIPS治疗。(2)对于食管胃静脉曲张(EV、GOV1)出血一线治疗(内镜+药物)失败患者,可接受TIPS治疗。(3)对于肝硬化出现顽固性腹水的患者,可接受TIPS治疗去腹水。

POEM—不开刀治疗贲门失弛缓症
贲门失驰缓症是一种非常罕见的疾病,年发病率为每10万人1例,每10万人患病率为10例。它是一种由食管胃交界部神经肌肉功能障碍导致的功能性疾病,患者常常会有吞咽困难、胸痛、体重减轻的症状,甚至因为返流误吸反复发生肺炎、生活质量差。

POEM,即经口内镜下肌切开术,是一种通过隧道内镜技术进行肌切开的内镜微创新技术,这种技术治疗贲门失驰缓症相比较于开胸手术或胸腔镜手术有诸多优势,已成为贲门失驰缓症的首选治疗方法。全部手术过程均在无痛状态下通过胃镜进行操作,手术时间短、创伤小,患者恢复快,疗效可靠。

内痔的内镜下治疗—内镜下套扎术
与硬化剂注射术
痔的套扎和硬化注射治疗是一种常用的内痔治疗技术,是一种有效、快速、简单和经济的内痔治疗技术。镜下痔套扎术可以经由完整的肠道检查后,可以通过翻转肠镜镜头的姿态对肛门齿状线以上的痔疮进行吸引和套扎,将小的痔疮注射硬化剂,以减少术后疼痛。在单次的手术中,可以对多点进行同时套扎和注射,避免多次手术治疗。可以在无麻醉下实施,短时间即可完成治疗,为广大痔疮患者的微创治疗提供了新的选择。

急性阑尾炎内镜下治疗
通过内镜逆行插入阑尾腔,解除阑尾腔梗阻,引流阑尾脓液,同时对阑尾进行冲洗和消炎,从而达到治疗急性阑尾炎的目的,尽可能保留阑尾及其功能。

胶囊内镜
胶囊内镜实际上是一个微型的无线内镜系统,大小与普通胶囊相似。当患者吞服胶囊内镜后,它会随着胃肠道的蠕动而移动,在移动过程中,其摄像头以一定的频率(通常每秒2-6帧)对消化道内部进行拍摄,将拍摄图像实时传输到患者体外携带的数据记录仪上。检查结束后,医生通过图像分析软件进行分析,从而观察消化道内的情况,判断是否存在病变。
适用情况:不明原因的消化道出血、疑似克罗恩病、不明原因的腹痛腹泻、消化道肿瘤的筛查、监测小肠疾病的治疗效果、不愿进行常规胃镜检查者、存在常规胃镜检查禁忌症患者。
TACE
TACE手术,即经动脉化疗栓塞术,是一种常用于治疗肝脏恶性肿瘤,尤其是肝癌的介入性治疗方法。
适用情况:不能手术切除的肝癌、肝癌术前降期、肝癌破裂出血。
小链接
消化内科将继续秉承“敬佑生命 守护健康”的使命,直面消化疾病领域的庞杂与挑战,在各类常见及疑难疾病中默默钻研,谨遵“谨诊慎医,生命至上”的医院宗旨,以实际行动为医院高质量发展贡献力。
建站专家

王 东
教授,主任医师
上海交通大学医学院附属瑞金医院消化内镜中心副主任
中华医学会消化内镜学分会内镜外科学组委员
第二军医大学硕士研究生导师
上海理工大学硕士生导师
中国医师协会内镜感染控制及管理专业委员会副主任委员兼秘书长
中国中西医结合学会消化内镜专业委员会副主任委员
中国医药教育协会消化内镜专委会副主任委员
中国中西医结合学会消化内镜专业委员会内镜质控专委会主任委员
中国医师协会内镜医师分会结直肠肿瘤专委会NOTES分会副主任委员
中国中西医结合学会消化内镜专业委员会EUS专委会委员
上海市中西医结合学会ERCP学组 副组长中国研究型医院学会内镜分子影像学专业委员会副主任委员
中国抗癌协会胃癌专业委员会内镜学组委员
上海市医学会消化内镜专科分会食管胃底静脉曲张分会副主任委员
上海市医师协会消化内科医师分会委员
中华消化内镜杂志编委
中华消化病与影像杂志(电子版)编委
曾留学美国加州大学和日本九州大学
澳门肝病胃肠学会学术顾问
以第一申请人承担国家自然基金2项,博士后基金1项。获国家级教学成果奖及上海市科技进步奖各1项。
曾赴美国加利福尼亚州大学Davis医学中心留学,进行了ERCP、EUS等高级内镜诊疗培训。曾先后在日本、德国等进修学习。荣获首届“榜样长海”人物,多次获嘉奖。多次在美国、日本、韩国、新加坡、澳门地区等作大会学术报告。在泰国和缅甸进行学术讲座和超声内镜及ERCP的手把手带教工作。
发表论文30余篇,主编《消化超声内镜治疗技术》、《消化超声内镜实用技术》2部,副主编《上消化内镜检查技术》,《ERCP操作高级技术》,《ERCP操作基本技术》等6部,副主编专著2部,参编专著10余部。结合临床难题创造发明,有效解决多项疑难疾病,获国家实用新型专利46项,发明专利5项。

本院专家

孙 志 宏
消化内科主任、副主任医师
中国医药卫生事业发展基金会消化专家委员会青年委员
现任云南省医师协会消化医师分会委员
云南省医师协会胰腺分会委员
云南血管介入分会委员
保山市医学会消化分会委员
2011-2012年到四川华西医院进修学习消化内镜及介入技术
2015年到昆明医科大学进修消化血管介入2019遵义医科大学附属医院进修早癌
2021华中科技大学同济医学附属协和医院进修超声内镜
从事消化内镜及消化内科工作,发表论文数篇,曾获区级科技奖1项,市级科技奖2项。
专业擅长:
胃镜、单人肠镜的检查治疗及消化科急危重症的诊治;擅长超声内镜检查和治疗,开展EUS-Fan EUS-BD及超声内镜下引流术,内镜下独立开展消化内科的相关介入治疗(肝脏、胰腺脓肿、囊肿穿刺治疗、肝癌的肝癌动脉灌注化疗栓塞治疗(TACE)治疗、胆道的经皮经肝胆管穿刺引流术(PTCD)治疗、肝硬化的经颈静脉肝内门腔静脉分流术(TIPS)治疗及经内镜送行性胰胆管造影术(ERCP)、内镜粘膜下剥离术(ESD)治疗;常规开展肝硬化内镜下静脉曲张套扎术硬化治疗,清化道早期肿瘤ESD剥离、肠镜下 困难大息肉切除、消化道穿孔修复、胆管微创取石、CT、B超下脓肿穿刺引流、胆道PTCD术;食道癌食道支架植入术;2018开展POEM手术,2021年开展超声内镜下介入治疗,多项技术在保山属首家开展,多项技术在保山处于领先水平。


董 明 志
副主任医师
云南省医学会消化内镜分会委员
云南省医师协会消化分会常委委员
保山市医学会消化分会委员
发表论文数篇,曾获区级科技奖1项,市级科技奖2项。从事消化内科及消化内镜诊疗工作20余年。
专业擅长:
消化内科凝难病例的诊治及内镜下微创诊疗。


张 园 园
消化内科副主任、副主任医师
云南省医学会第二届职业病科专业委员会委员
保山市医学会消化病学分会第二届委员会委员
2009年毕业于大理大学临床医学专业,毕业后一直从事消化内科临床工作,曾于2015、2023两次于云南省第一人民医院进修消化内镜2017-2018上海交通大学附属仁济医院消化内科进修1年,进修胃肠病及肝病学,曾多次荣获市级科技进步三等奖,多次在省级消化内镜大赛中取得优异成绩。
专业擅长:
消化系统常见及危重疾病的诊治、消化内镜的诊断、超声胃镜的诊断、消化内镜的微创治疗,以及疑难复杂性肝病、遗传代谢性肝病的诊治,尤其对自身免疫性肝病有丰富的经验。

杨 露
消化内科副主任、主治医师
云南省医学会消化内镜分会小肠及胶囊内镜学组委员
保山市医学会消化病学分会第二届委员会委员
保山市医学会消化内镜学分会第二剂委员会委员
曾至上海交通大学附属瑞金医院进修,2014年毕业于昆明医科大学临床医学,医学学士。毕业后一直从事消化内科工作。2021年到上海交通大学附属瑞金医院消化内科进修一年。擅长消化内科常见多发疾病及疑难疾病的诊治。
获得省内外EUS、ERCP及消化道早癌培训合格证书,并成为上海CSR公益特邀专家。
专业擅长:
胃肠镜、胶囊内镜检查及内镜下治疗、消化道早癌的筛查、急性消化道出血的内镜下治疗、EMR、ESD、EUS、ERCP技术等。

供稿|消化内科
扫一扫在手机打开当前页



