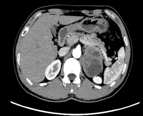
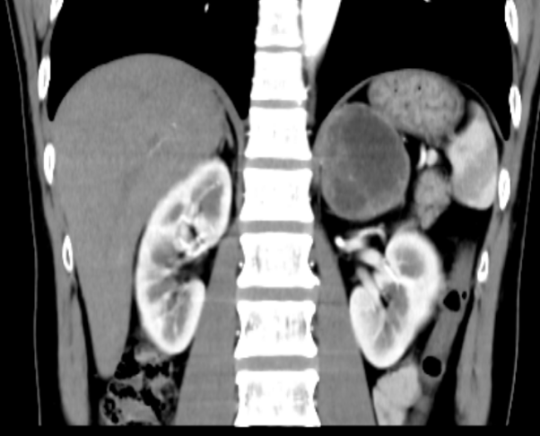
近日,我院接诊一位47岁患者王某,因持续头痛、头晕4天前来就诊。经CT检查发现,左侧肾上腺区存在一类圆形混杂密度肿块,大小约5.2cm×7.8cm×6.1cm,边界清晰,密度不均,增强扫描显示不均匀强化,内部可见片状无强化坏死区,初步诊断为嗜铬细胞瘤。


在排除手术禁忌症后,患者接受了全身麻醉下腹腔镜下左侧肾上腺切除术。术后恢复良好,血压及电解质水平恢复正常,头痛、头晕症状消失。

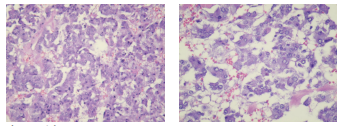
病检提示:嗜铬细胞瘤
什么是肾上腺瘤?
肾上腺肿瘤是起源于肾上腺组织的肿块,多数为良性,且很多患者无明显症状,多在体检时偶然发现,医学上称为“偶发瘤”。

按功能可分为:
功能性肿瘤,分泌过量激素(如醛固酮、皮质醇、儿茶酚胺),引发代谢紊乱和典型症状;非功能性肿瘤,通常无症状,多在体检时偶然发现;
按性质可分为:
良性肿瘤(占90%以上),如醛固酮瘤、皮质醇瘤;恶性肿瘤(罕见),包括转移癌和原发性肾上腺癌。
肾上腺瘤的典型症状
功能性肿瘤表现
★醛固酮瘤:高血压、低血钾(肌无力、心律失常)
★皮质醇瘤:向心性肥胖(满月脸、水牛背)、皮肤紫纹、血糖升高
★嗜铬细胞瘤:阵发性高血压伴头痛、心悸、多汗
非功能性肿瘤表现
早期无症状,肿瘤增大后可能出现腹痛、腹部肿块
肾上腺瘤的治疗方案
手术治疗
★适应证:功能性肿瘤、直径>4cm或疑似恶性的肿瘤
★术式:腹腔镜微创手术(多数良性肿瘤)或开放手术(复杂病例)
药物控制
术前准备(如嗜铬细胞瘤需α受体阻滞剂稳定血压);无法手术者通过药物调节激素水平(如螺内酯治疗醛固酮增多症)

供稿|泌尿外科
扫一扫在手机打开当前页



