“医生,孩子睾丸肿了还喊疼,连肚子都不舒服!” 近日,11岁的王宝宝(化名)因左侧睾丸持续胀痛4天,被家长紧急送往我院。经超声检查,孩子被确诊为“睾丸附件扭转”,随后通过急诊手术切除了坏死组织,目前恢复良好。


不少家长可能对“睾丸附件扭转”感到陌生,但它却是儿童常见的泌尿系统急症。今天,我们就带家长们全面了解这种疾病,学会科学应对。
什么是 “睾丸附件”?
很多家长听到“附件”会紧张,其实睾丸附件是孩子胚胎发育时,副中肾管或肾管留下的正常残留结构,它大多长在睾丸上极附近,呈卵圆形、带蒂。数据显示,92%的男性存在附件,小儿以睾丸附件最为常见,达83.3%,其次为附睾附件,约20.0%。

什么是睾丸附件扭转?
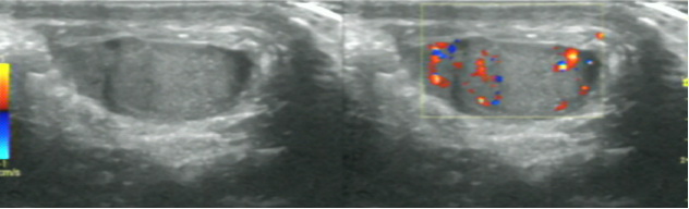
急性睾丸附件扭转,是小儿泌尿系统常见急症之一,常见于8-13岁的患儿,是引起小儿急性阴囊疼痛的主要因素,左侧较右侧发生率高,成年人极少见,症状酷似睾丸扭转,易与急性睾丸附睾炎和睾丸扭转相混淆,术前诊断率<20%。超声诊断是睾丸附件扭转首选检查。
睾丸附件扭转,主要和两类因素有关:
★生理因素:睾丸附件为卵圆形有蒂组织,其体积大,易发生扭转。附着于附睾周围的附件旋转时其体部易嵌入附睾窦而发生扭转。
★外界因素:患儿被踢伤,或剧烈运动等可导致睾丸附件扭转。
孩子出现这些症状,别耽误!立即就医
★核心症状:阴囊部位突发钝痛或绞痛,还可能放射到下腹部,即孩子会喊“肚子也疼”;
★伴随症状:部分孩子会出现头晕、乏力、恶心、呕吐。
一旦发现孩子有“阴囊肿痛 + 腹痛”,哪怕疼痛不严重也要及时送医,避免事态加重。

睾丸附件扭转的治疗及预防
★治疗:急性睾丸附件扭转是一种自限性疾病,治疗原则以抗炎、止痛为主,仅在对症治疗无效、坏死加重时才考虑手术干预。
★预防:避免剧烈运动、外部创伤及寒冷刺激,注意睡姿避免体位突然改变等。一旦发生阴囊疼痛,应引起重视并立即就诊并随访观察,避免迟发性扭转。

温馨提示
如果孩子突然出现阴囊肿痛、腹痛,别犹豫,第一时间带孩子到医院就诊,让专业医生制定治疗方案——早发现、早处理,才能最大限度保护孩子的健康。

供稿|超声医学科
扫一扫在手机打开当前页



