国家癌症中心2024年全国癌症报告揭示严峻现实:肺癌蝉联全球第一大癌,中国癌症新增与死亡病例均居全球首位。面对晚期肺癌传统治疗(手术、放疗、化疗)疗效有限、完全缓解率低的困境,我院肿瘤科凭借前沿技术体系、规范化诊疗能力与精细化管理水平,为患者打破生存壁垒。

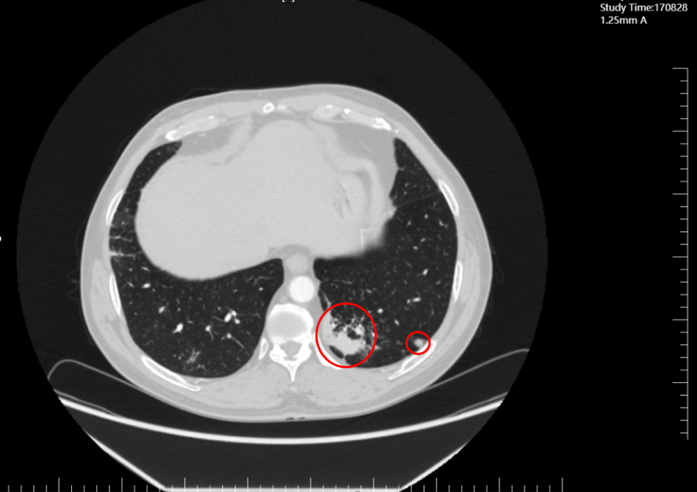
2023年5月,肖先生被确诊为左肺鳞癌T3NxM1 Ⅳ期(晚期),肿瘤已出现远处转移,传统治疗手段难以实现长生存。


同年7月,患者转入我院肿瘤科,科室团队立即启动“多学科诊疗思维+个体化精准评估”流程。
指南化精准方案制定
严格遵循《CSCO肺癌诊疗指南》最新推荐,结合患者肿瘤病理类型(鳞癌)、基因检测结果、身体耐受度,创新性制定“化疗联合免疫治疗序贯单药维持”的阶梯式方案——先以“白蛋白紫杉醇+卡铂+替雷利珠单抗”开展6周期联合治疗,后续衔接替雷利珠单抗单药免疫维持,实现“快速控瘤+长期抑瘤”的双重目标。
全病程技术化监测
治疗期间依托科室影像诊断技术(高分辨率CT)、实验室检测技术(肿瘤标志物动态监测),建立“周度评估+月度复查”的技术监测体系:
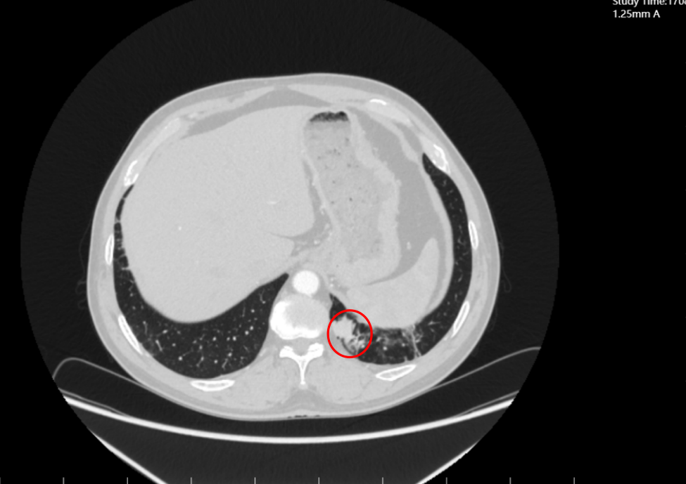
2023年11月(联合治疗5周期),CT显示肺部原病灶大部分退缩为磨玻璃影,技术层面验证“肿瘤活性显著降低”;


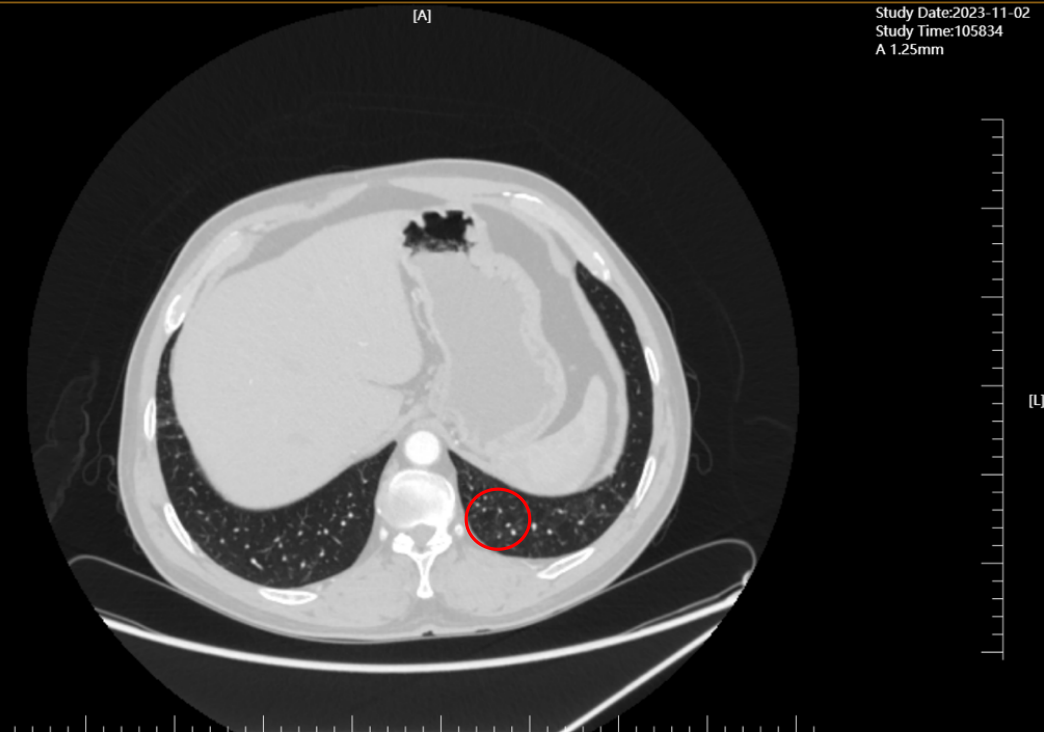
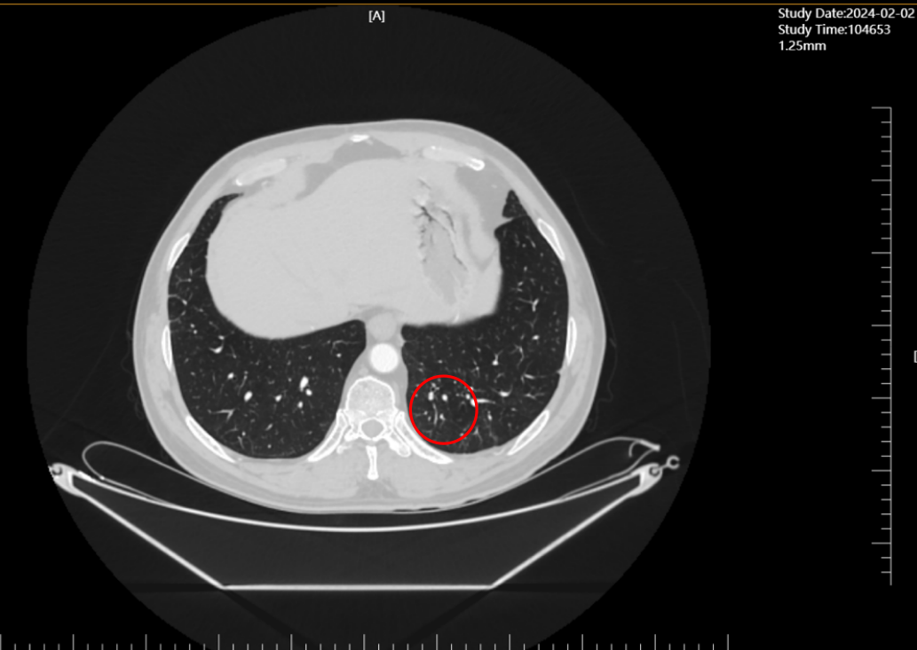
2024年2月(单药维持3个月),经影像科与肿瘤科联合评估,达到完全缓解(CR)——这是晚期肺癌治疗中的“技术里程碑”,意味着体内可检测肿瘤病灶完全消失。


截至2025年10月,肖先生已实现“从发病到无瘤生存2年5个月”,且停抗肿瘤治疗3个月后复查胸部CT,无任何肿瘤复发迹象——这一成果远超晚期肺鳞癌传统治疗的生存预期,背后是我院肿瘤科“技术驱动临床”的深刻实践:
★依托免疫治疗技术突破,打破“晚期肺癌=短期生存”的认知,让“长生存”成为可能。
★凭借全周期技术化管理,将“治疗结束”转化为“慢性病随访管理”,通过定期影像监测、免疫功能评估,实现“复发早干预”。
★以患者为中心的技术服务理念,在治疗中通过药物不良反应监测技术(如恶心呕吐预防、免疫相关不良反应筛查),确保肖先生全程无明显不适,兼顾“疗效”与“生活质量”。
随着免疫治疗、靶向治疗等新兴技术的持续落地,肿瘤诊疗已正式迈入“慢性病管理时代”。我院肿瘤科将始终以“技术创新”为核心驱动力,持续完善诊疗设备、优化技术方案、提升技术服务,用更精准的技术、更规范的诊疗、更温暖的关怀,为每一位肿瘤患者点亮“长生存”的希望,重获健康与新生!

供稿|肿瘤科 宣传办
扫一扫在手机打开当前页



