
声音嘶哑,或许是生活中最常见的咽喉不适。但当持续2个月的声嘶反复不愈,伴随偶发的咽喉疼痛与异物感,这绝非普通“感冒”或“用嗓过度”那么简单。52岁的李先生,正是被这样的“小症状”困扰,直到就诊时才发现,右侧声带已悄然出现癌变病灶。
早期咽喉癌常以“伪装者”的姿态出现,其症状与慢性喉炎、声带息肉高度相似,极易被忽视。而长期吸烟喝酒、过度用嗓、慢性咽喉疾病等高危因素,正悄悄为癌变埋下隐患。当声音的“异常”超过2周,便是身体发出的无声警报,及时排查方能避免小病变大病。

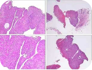
早期诊断是治愈咽喉癌的关键,而NBI电子鼻咽喉镜的出现,让早期病变无所遁形。这项无需全身麻醉、无辐射的无痛无创检查技术,仅需局部表面麻醉,便能通过人体自然腔隙精准探查咽喉部病变。

它通过特殊成像技术,将黏膜下异常血管清晰呈现为不规则棕色斑点,如同为医生装上“放大镜”,精准识别肉眼难以察觉的早期癌变。正是凭借这项技术,李先生的右侧声带原位癌被及时发现,为后续治疗赢得了黄金窗口期,也印证了“早发现=高治愈率”的医学真理。

确诊之后,治疗的核心始终围绕“根治肿瘤”与“保留发声功能”的双重目标。对于T1aN0M0期早期声带癌,激光微创手术成为最优解——相比创伤大、恢复慢、影响发声的开放式手术,激光手术以“精准微创”为核心优势,在完整切除肿瘤的同时,最大限度保留声带生理结构。

术中病理冰冻快速确认切缘阴性,彻底杜绝复发隐患;术后无需漫长恢复期,患者发声功能得以最大程度保留。这种“微创化+功能保护”的诊疗模式,打破了“治癌必伤功能”的传统认知,让患者在战胜癌症的同时,依然能留住属于自己的声音。

治疗的结束,是康复随访的开始。对于早期声带癌患者,术后1、3、6、12个月及每年的电子喉镜复查,是抵御复发的重要防线。规律随访能及时监测声带恢复情况,而NBI电子鼻咽喉镜能精准捕捉任何潜在的早期病变信号,为长期生存保驾护航。

李先生的康复之路,正是“早发现、早诊断、早治疗、长随访”的完整实践。从症状警惕到精准诊断,从微创治疗到规律随访,每一步都凝聚着医学的温度与科技的力量,最终让他重获健康,留住了交流的底气与生活的质感。

嗓音是人类情感交流的桥梁,是生命活力的具象表达。早期声带癌的诊疗启示我们:健康无小事,嗓音需呵护。当出现持续声嘶、咽喉不适等症状,尤其是高危人群,切勿拖延,及时寻求专业诊疗是关键。

供稿|医务部 耳鼻咽喉头颈外科
扫一扫在手机打开当前页



